흔한유방질환
낭종 혹은 물혹
낭종은 초음파 소견상 가장 흔히 발견되는 병변입니다. 낭종은 유방조직 중 말단유관이 풍선처럼 늘어나면서 그 속에 액체가 들어있는 상태입니다.
낭종은 유방조직 풍부한 30대~50대 여성에서 잘 생깁니다.
낭종이 있다고 해서 후에 유방암이 생길 위험이 높아지지는 않습니다. 그러나 유방에 낭종이 있는 경우에는 환자 특성에 따라 6개월에서 1년마다
정기적인 유방초음파 검사를 통하여 암이 아니라는 것을 확인하여야 합니다.
이러한 낭종은 주사 바늘로 찔러보면 물이 빠져 나오면서 혹이 없어지기도 합니다. 낭종이 3회이상 재발하거나, 뽑아낸 물이 피빛이거나,
바늘로 뽑았는데도 완전히 없어지지 않는 경우에는 수술적인 조직검를 하여 유방암과 감별하여야 합니다.
양성 혹(양성 종양)


검진상 시행한 초음파 소견에서 본인은 만져지지 않지만 다양한 크기의 양성 혹(종양)이 있다는 이야기를 간혹 들을 수 있습니다.
양성 종양은 초음파 사진에서 대부분 경계가 분명하고 모양이 둥글기 때문에 진단을 내리기가 어렵지는 않습니다.
유방에 생기는 양성종양은 섬유선종, 지방종, 섬유낭포성변화, 유두종 등 여러가지가 있습니다. 초음파에서만 발견된 양성종양은
대부분은 곧바로 조직검사를 하거나 수술로 제거할 필요는 없습니다.
처음 시행한 초음파에서 발견된 양성모양의 종양에 대해서 6개월 이후 다시 초음파를 시행하여 크기가 커지거나 모양이
이상한 경우에는 유방암과의 감별을 위해 조직검사를 시행하여야 합니다. 초음파 검사상 양성종양으로 생각되어도,
처음부터 환자 본인이 꼭 원하면 조직검사를 바로 시행할 수도 있습니다.
다만, 조직검사에서 유두종으로 진단된 경우에는 양성종양이지만 수술 또는 맘모톰으로 제거해주는 것이 좋습니다.
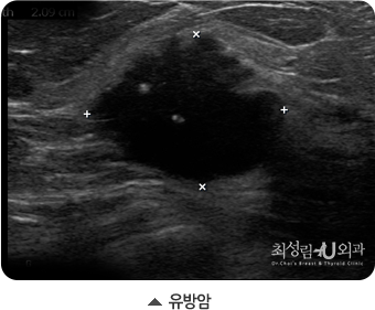
악성 종양 (유방암)

초음파에서 유방암은 보통 혹의 모양이 불규칙하거나, 경계가 불분명하게 보입니다. 물론 경계가 매끄러운 암도 있기 떄문에
양성종양처럼 보이더라도 크기가 크거나 점점 커지고, 만저지는 경우에는 조직검사를 실시해서 정확히 진단을 받아야합니다.




